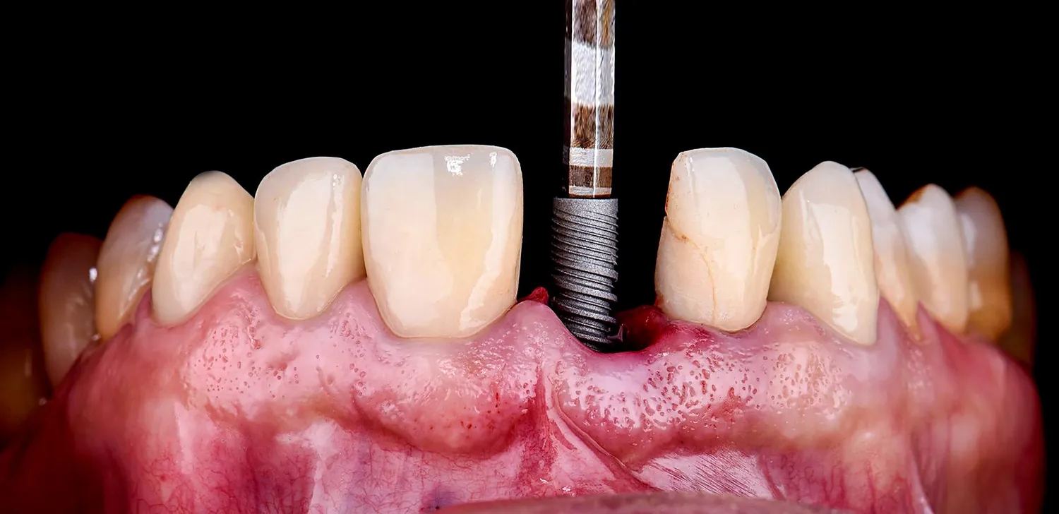
Zabieg wszczepiania implantów zębowych składa się z kilku kluczowych etapów, które mają na celu zapewnienie trwałego i estetycznego efektu. Pierwszym krokiem jest dokładna diagnostyka, która obejmuje zdjęcia rentgenowskie oraz tomografię komputerową. Dzięki tym badaniom lekarz może ocenić stan kości oraz zaplanować odpowiednią lokalizację implantu. Następnie pacjent przechodzi przez etap przygotowania, który może obejmować leczenie chorób przyzębia lub uzupełnienie braków kostnych. Po przygotowaniach następuje właściwy zabieg chirurgiczny, podczas którego implant jest umieszczany w kości szczęki lub żuchwy. W zależności od sytuacji klinicznej, może być konieczne zastosowanie znieczulenia miejscowego lub ogólnego. Po wszczepieniu implantu następuje okres gojenia, który trwa zazwyczaj kilka miesięcy. W tym czasie implant integruje się z kością, co jest kluczowe dla jego stabilności.
Jakie są zalety i wady wszczepiania implantów zębowych?
Wszczepianie implantów zębowych ma wiele zalet, które przyciągają pacjentów do tego rozwiązania. Przede wszystkim, implanty są trwałe i mogą służyć przez wiele lat, a nawet całe życie, jeśli są odpowiednio pielęgnowane. Oferują one naturalny wygląd i funkcjonalność, co pozwala na komfortowe jedzenie oraz mówienie. Dodatkowo, implanty pomagają w utrzymaniu struktury kości w szczęce, co zapobiega jej zanikowi po utracie zęba. Z drugiej strony istnieją również pewne wady związane z tym zabiegiem. Koszt wszczepienia implantów może być znaczny i nie zawsze jest pokrywany przez ubezpieczenie zdrowotne. Ponadto, proces gojenia może być długi i wymagać cierpliwości ze strony pacjenta. Istnieje również ryzyko powikłań pooperacyjnych, takich jak infekcje czy problemy z integracją implantu.
Jakie są przeciwwskazania do zabiegu wszczepiania implantów?

Decyzja o wszczepieniu implantów zębowych nie zawsze jest możliwa dla każdego pacjenta. Istnieje szereg przeciwwskazań, które mogą uniemożliwić przeprowadzenie tego zabiegu. Przede wszystkim osoby cierpiące na choroby ogólnoustrojowe, takie jak cukrzyca czy choroby serca, powinny być szczególnie ostrożne przed podjęciem decyzji o wszczepieniu implantu. Także palenie tytoniu może negatywnie wpływać na proces gojenia oraz integrację implantu z kością. Inne czynniki to niewystarczająca ilość tkanki kostnej w miejscu planowanego wszczepienia oraz aktywne infekcje jamy ustnej lub choroby przyzębia. W takich przypadkach lekarz może zalecić wcześniejsze leczenie lub inne metody rehabilitacji uzębienia.
Jak długo trwa proces gojenia po wszczepieniu implantów?
Czas gojenia po wszczepieniu implantów zębowych jest istotnym aspektem całego procesu leczenia i może różnić się w zależności od wielu czynników. Zazwyczaj okres gojenia trwa od trzech do sześciu miesięcy, jednak czas ten może być dłuższy w przypadku bardziej skomplikowanych zabiegów lub gdy konieczne było uzupełnienie tkanki kostnej przed wszczepieniem implantu. W tym czasie organizm pacjenta musi przejść przez proces osteointegracji, czyli integracji implantu z kością szczęki lub żuchwy. Warto zaznaczyć, że podczas tego okresu pacjent powinien ściśle przestrzegać zaleceń lekarza dotyczących higieny jamy ustnej oraz unikać twardych pokarmów mogących obciążać miejsce wszczepienia. Regularne wizyty kontrolne u stomatologa są również kluczowe dla monitorowania postępu gojenia i ewentualnego wykrywania problemów na wczesnym etapie.
Jakie są koszty zabiegu wszczepiania implantów zębowych?
Koszt zabiegu wszczepiania implantów zębowych jest jednym z kluczowych czynników, które pacjenci biorą pod uwagę przed podjęciem decyzji o leczeniu. Ceny mogą się znacznie różnić w zależności od wielu czynników, takich jak lokalizacja kliniki, doświadczenie lekarza, a także rodzaj użytych materiałów. Średni koszt jednego implantu zębowego w Polsce waha się od kilku do kilkunastu tysięcy złotych. Warto również pamiętać, że cena nie obejmuje tylko samego wszczepienia implantu, ale także dodatkowych usług, takich jak konsultacje, zdjęcia rentgenowskie czy wykonanie korony protetycznej. W przypadku konieczności przeprowadzenia dodatkowych zabiegów, takich jak augmentacja kości czy sinus lifting, całkowity koszt może wzrosnąć jeszcze bardziej. Dlatego przed rozpoczęciem leczenia warto dokładnie omówić wszystkie aspekty finansowe z lekarzem oraz zapytać o możliwość rozłożenia płatności na raty. Niektóre kliniki oferują również programy lojalnościowe lub promocje, które mogą pomóc w obniżeniu kosztów.
Jakie są najnowsze technologie w dziedzinie implantologii?
W ostatnich latach dziedzina implantologii zyskała na znaczeniu dzięki wprowadzeniu nowoczesnych technologii, które znacznie poprawiają efektywność i bezpieczeństwo zabiegów. Jednym z najważniejszych osiągnięć jest wykorzystanie technologii cyfrowych do planowania zabiegów. Dzięki skanowaniu 3D oraz programom komputerowym lekarze mogą precyzyjnie zaplanować lokalizację implantu oraz przewidzieć ewentualne trudności podczas zabiegu. Kolejnym innowacyjnym rozwiązaniem są implanty wykonane z materiałów biokompatybilnych, które sprzyjają szybszej integracji z kością oraz minimalizują ryzyko powikłań. Technologia CAD/CAM umożliwia także produkcję indywidualnych koron protetycznych na podstawie dokładnych skanów jamy ustnej pacjenta, co zapewnia lepsze dopasowanie i estetykę. Warto również wspomnieć o zastosowaniu laserów w chirurgii stomatologicznej, które pozwalają na precyzyjne cięcia oraz redukcję bólu i obrzęku pooperacyjnego.
Jak dbać o implanty zębowe po ich wszczepieniu?
Prawidłowa pielęgnacja implantów zębowych jest kluczowa dla ich długowieczności oraz zdrowia jamy ustnej. Po zakończeniu procesu gojenia pacjent powinien stosować się do zaleceń lekarza dotyczących higieny jamy ustnej. Regularne szczotkowanie zębów co najmniej dwa razy dziennie oraz nitkowanie to podstawowe zasady utrzymania czystości wokół implantu. Ważne jest także stosowanie odpowiednich środków do płukania jamy ustnej, które pomogą w eliminacji bakterii i zapobieganiu stanom zapalnym. Pacjenci powinni unikać twardych pokarmów oraz nadmiernego obciążania implantu w pierwszych tygodniach po zabiegu, aby dać mu czas na pełną integrację z kością. Regularne wizyty kontrolne u stomatologa są niezbędne do monitorowania stanu zdrowia implantu oraz wykrywania ewentualnych problemów na wczesnym etapie. Dodatkowo, osoby palące powinny rozważyć rzucenie palenia, ponieważ nikotyna negatywnie wpływa na proces gojenia i może prowadzić do komplikacji związanych z implantami.
Jakie są alternatywy dla wszczepiania implantów zębowych?
Dla osób, które nie mogą lub nie chcą zdecydować się na wszczepienie implantów zębowych istnieje kilka alternatywnych metod uzupełniania brakujących zębów. Jedną z najpopularniejszych opcji są mosty protetyczne, które polegają na osadzeniu sztucznego zęba na sąsiednich zdrowych zębach za pomocą specjalnych koron. Mosty są mniej inwazyjne niż implanty i mogą być wykonane w krótszym czasie, jednak wymagają szlifowania zdrowych zębów, co może być ich wadą. Innym rozwiązaniem są protezy ruchome lub stałe, które można łatwo zdjąć lub wymienić. Protezy są często tańszą opcją niż implanty, ale mogą nie zapewniać takiej samej stabilności i komfortu podczas jedzenia czy mówienia. W przypadku osób starszych lub tych z ograniczeniami zdrowotnymi protezy mogą być bardziej odpowiednie ze względu na ich prostotę użytkowania. Warto również wspomnieć o technice mini-implantów, która jest mniej inwazyjna i może być stosowana w przypadkach ograniczonej ilości tkanki kostnej.
Jak przygotować się do zabiegu wszczepiania implantów?
Przygotowanie do zabiegu wszczepiania implantów zębowych jest kluczowym etapem całego procesu leczenia i wymaga staranności ze strony pacjenta. Przede wszystkim warto umówić się na konsultację ze specjalistą stomatologiem lub chirurgiem szczękowym, który przeprowadzi dokładną diagnostykę oraz oceni stan zdrowia jamy ustnej pacjenta. Na tym etapie lekarz może zalecić wykonanie zdjęć rentgenowskich lub tomografii komputerowej w celu oceny ilości tkanki kostnej oraz planowania lokalizacji implantu. Pacjent powinien również poinformować lekarza o wszystkich przyjmowanych lekach oraz chorobach przewlekłych, co pomoże uniknąć ewentualnych powikłań podczas zabiegu. W dniu zabiegu warto zadbać o odpowiedni komfort psychiczny – dobrze jest przyjść wypoczętym i spokojnym. Należy także przestrzegać zaleceń dotyczących jedzenia i picia przed zabiegiem; zazwyczaj zaleca się unikanie posiłków na kilka godzin przed wizytą u stomatologa.
Jak długo trwa cały proces leczenia implantologicznego?
Czas trwania całego procesu leczenia implantologicznego może być różny w zależności od indywidualnych potrzeb pacjenta oraz skomplikowania przypadku klinicznego. Zazwyczaj cały proces można podzielić na kilka etapów: diagnostykę i planowanie, sam zabieg wszczepienia implantu oraz okres gojenia i wykonania korony protetycznej. Diagnostyka zajmuje zazwyczaj od kilku dni do tygodnia, a sam zabieg trwa od jednej do kilku godzin w zależności od liczby wszczepianych implantów oraz stopnia skomplikowania sytuacji klinicznej. Okres gojenia to najdłuższy etap – zazwyczaj trwa od trzech do sześciu miesięcy, chociaż może być dłuższy w przypadku konieczności przeprowadzenia dodatkowych procedur chirurgicznych lub gdy pacjent ma problemy zdrowotne wpływające na proces gojenia. Po zakończeniu tego etapu można przystąpić do wykonania korony protetycznej, co zajmuje zwykle kilka tygodni ze względu na konieczność wykonania indywidualnych prac protetycznych.





