Implanty zębowe w Lublinie to coraz popularniejsza metoda uzupełniania braków w uzębieniu. Wybór implantów niesie ze sobą wiele korzyści, które przyciągają pacjentów do gabinetów stomatologicznych. Przede wszystkim, implanty są trwałym rozwiązaniem, które może służyć przez wiele lat, a nawet całe życie, jeśli zostaną odpowiednio pielęgnowane. Dzięki zastosowaniu tytanu, materiału biokompatybilnego, implanty łączą się z kością szczęki, co zapewnia stabilność i naturalny wygląd. Dodatkowo, w przeciwieństwie do tradycyjnych protez, implanty nie wymagają szlifowania sąsiednich zębów, co jest istotnym atutem dla wielu pacjentów. Kolejną zaletą jest poprawa komfortu podczas jedzenia i mówienia, ponieważ implanty działają jak naturalne zęby. Pacjenci często zauważają również poprawę estetyki uśmiechu, co wpływa na ich pewność siebie i samopoczucie.
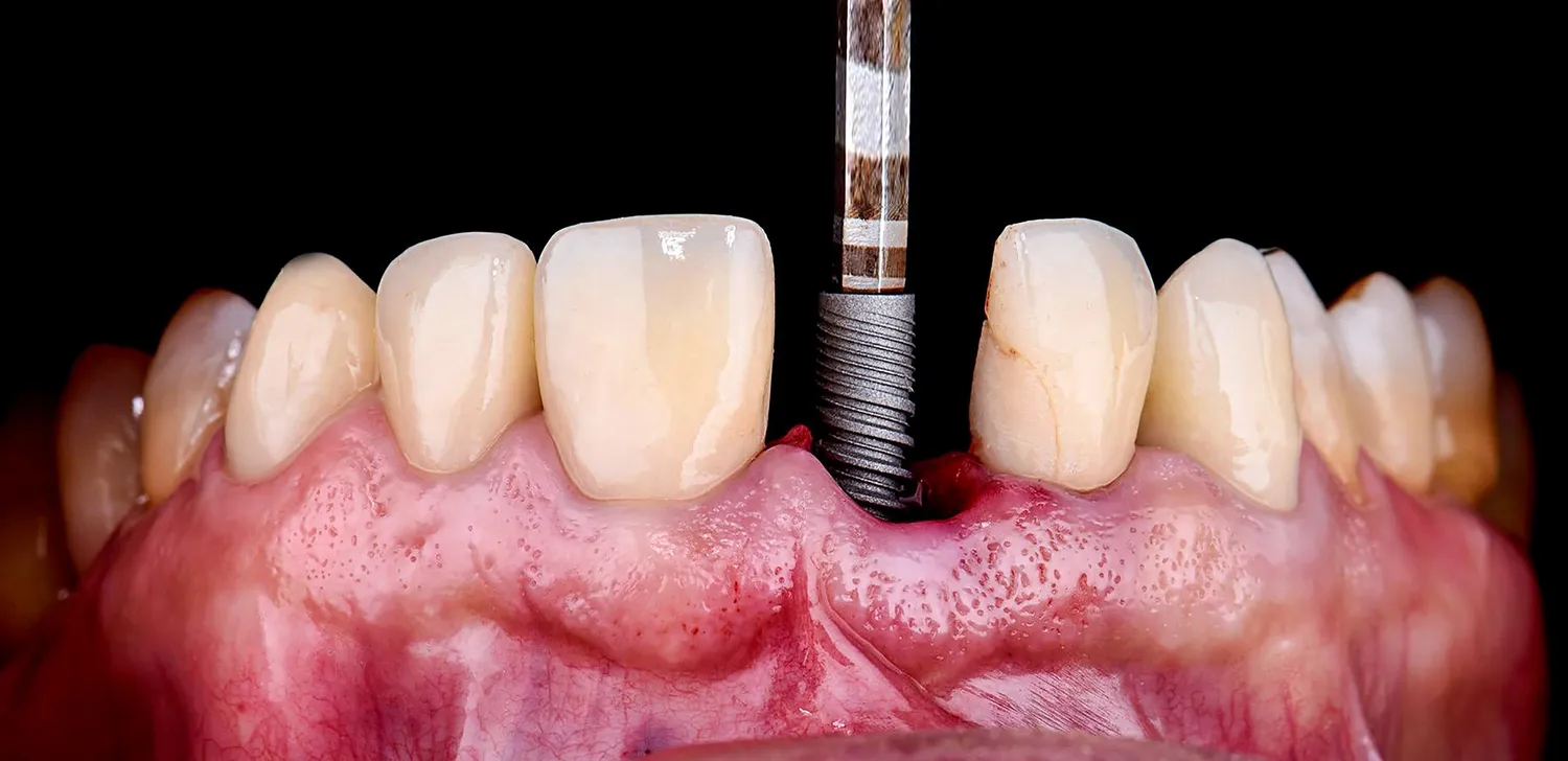
Jak wygląda proces zakupu implantów w Lublinie

Proces zakupu implantów w Lublinie rozpoczyna się od wizyty u stomatologa, który przeprowadza dokładną ocenę stanu zdrowia jamy ustnej pacjenta. Na początku lekarz wykonuje zdjęcia rentgenowskie oraz badania diagnostyczne, aby ocenić ilość i jakość kości, w której ma zostać umieszczony implant. Następnie lekarz przedstawia pacjentowi plan leczenia oraz omówi różne opcje dostępne na rynku. Po zaakceptowaniu planu następuje etap chirurgiczny, podczas którego implant jest umieszczany w kości szczęki. Po zabiegu pacjent otrzymuje szczegółowe instrukcje dotyczące pielęgnacji oraz ewentualnych ograniczeń żywieniowych na czas gojenia. Gojenie trwa zazwyczaj kilka miesięcy, po czym można przystąpić do wykonania korony protetycznej, która będzie umieszczona na implancie.
Jakie są koszty związane z implantami w Lublinie
Koszty związane z implantami w Lublinie mogą się znacznie różnić w zależności od wielu czynników. Przede wszystkim cena zależy od rodzaju implantu oraz materiałów użytych do jego produkcji. W Lublinie można znaleźć zarówno tańsze opcje, jak i droższe implantu renomowanych marek. Dodatkowo koszt może obejmować nie tylko sam implant, ale także procedury przygotowawcze takie jak augmentacja kości czy sinus lift, które mogą być konieczne w przypadku niewystarczającej ilości tkanki kostnej. Warto również zwrócić uwagę na koszty związane z koroną protetyczną oraz wizytami kontrolnymi po zabiegu. Często kliniki oferują różne formy finansowania lub możliwość rozłożenia płatności na raty, co może ułatwić podjęcie decyzji o leczeniu.
Jak dbać o implanty zębowe po zabiegu w Lublinie
Prawidłowa pielęgnacja implantów zębowych po zabiegu jest kluczowa dla ich długowieczności i zdrowia jamy ustnej. Po zakończeniu leczenia pacjent powinien stosować się do zaleceń lekarza dotyczących higieny jamy ustnej. Ważne jest regularne szczotkowanie zębów oraz stosowanie nici dentystycznej wokół implantu, aby zapobiec gromadzeniu się płytki nazębnej i chorobom dziąseł. Pacjenci powinni unikać twardych pokarmów przez pierwsze tygodnie po zabiegu oraz stosować się do wskazówek dotyczących diety zalecanych przez stomatologa. Regularne wizyty kontrolne są niezbędne do monitorowania stanu zdrowia implantu oraz otaczających tkanek. Warto także zwrócić uwagę na objawy takie jak ból czy obrzęk wokół implantu i niezwłocznie zgłaszać je lekarzowi.
Jakie są najczęstsze pytania dotyczące implantów w Lublinie
Wiele osób zastanawia się nad różnymi aspektami związanymi z implantami zębowymi, co prowadzi do powstawania licznych pytań. Jednym z najczęściej zadawanych pytań jest to, jak długo trwa proces leczenia. Zazwyczaj cały proces od konsultacji do zakończenia leczenia może trwać od kilku miesięcy do roku, w zależności od indywidualnych potrzeb pacjenta oraz ewentualnych procedur przygotowawczych. Kolejnym istotnym pytaniem jest to, czy zabieg jest bolesny. Współczesna stomatologia stosuje znieczulenia miejscowe, które znacznie minimalizują dyskomfort podczas zabiegu. Pacjenci często pytają również o trwałość implantów. Przy odpowiedniej pielęgnacji i regularnych wizytach kontrolnych implanty mogą służyć przez wiele lat, a nawet całe życie. Inne pytania dotyczą kosztów oraz możliwości ich finansowania, co jest istotnym czynnikiem dla wielu osób rozważających takie rozwiązanie.
Jakie są różnice między implantami a protezami w Lublinie
Wybór między implantami a protezami zębowymi jest kluczowym krokiem w procesie uzupełniania braków w uzębieniu. Implanty zębowe są wszczepiane bezpośrednio w kość szczęki, co zapewnia im stabilność i naturalny wygląd. W przeciwieństwie do tego, protezy są ruchomymi uzupełnieniami, które można łatwo zdjąć i założyć. Protezy mogą być tańszą opcją na początku, ale często wymagają częstszych wizyt u dentysty oraz wymiany, co może wiązać się z dodatkowymi kosztami w dłuższym okresie. Ponadto, protezy mogą powodować dyskomfort podczas jedzenia i mówienia, ponieważ nie są tak stabilne jak implanty. Z drugiej strony, implanty wymagają bardziej skomplikowanego procesu chirurgicznego oraz dłuższego czasu gojenia, co może być dla niektórych pacjentów zniechęcające. Ważne jest również to, że implanty wspierają zdrowie kości szczęki poprzez stymulację tkanki kostnej, co zapobiega jej utracie, podczas gdy protezy nie mają takiego działania.
Jakie są nowoczesne technologie stosowane w implantologii w Lublinie
Nowoczesna implantologia w Lublinie korzysta z zaawansowanych technologii, które znacząco poprawiają jakość leczenia oraz komfort pacjentów. Jedną z takich technologii jest cyfrowe planowanie zabiegów, które pozwala na precyzyjne zaplanowanie umiejscowienia implantu na podstawie trójwymiarowych obrazów tomograficznych. Dzięki temu lekarz może dokładnie ocenić warunki anatomiczne pacjenta i dostosować plan leczenia do jego indywidualnych potrzeb. Kolejnym innowacyjnym rozwiązaniem jest zastosowanie systemów komputerowych do nawigacji podczas zabiegów chirurgicznych. Takie systemy umożliwiają precyzyjne umieszczanie implantów w odpowiednich miejscach bez konieczności wykonywania dużych nacięć chirurgicznych. W ostatnich latach coraz większą popularnością cieszą się także implanty wykonane z materiałów ceramicznych, które oferują estetykę porównywalną z naturalnymi zębami oraz zmniejszone ryzyko reakcji alergicznych.
Jak wybrać odpowiednią klinikę stomatologiczną w Lublinie
Wybór odpowiedniej kliniki stomatologicznej do przeprowadzenia zabiegu wszczepienia implantów jest kluczowy dla sukcesu całego procesu leczenia. Przede wszystkim warto zwrócić uwagę na doświadczenie i kwalifikacje lekarzy pracujących w danej placówce. Dobrym pomysłem jest poszukiwanie klinik posiadających certyfikaty oraz akredytacje potwierdzające ich kompetencje w dziedzinie implantologii. Rekomendacje znajomych lub opinie innych pacjentów mogą również pomóc w podjęciu decyzji o wyborze konkretnej kliniki. Ważnym aspektem jest także wyposażenie gabinetu stomatologicznego w nowoczesny sprzęt oraz technologie stosowane podczas zabiegów. Klinika powinna oferować kompleksową obsługę pacjenta, począwszy od konsultacji aż po opiekę pooperacyjną. Należy również zwrócić uwagę na atmosferę panującą w klinice oraz podejście personelu do pacjentów – komfort psychiczny ma ogromne znaczenie podczas leczenia stomatologicznego.
Jak wygląda rehabilitacja po wszczepieniu implantów w Lublinie
Rehabilitacja po wszczepieniu implantów zębowych to kluczowy etap procesu leczenia, który ma na celu zapewnienie prawidłowego gojenia oraz integracji implantu z kością szczęki. Po zabiegu pacjent powinien przestrzegać zaleceń lekarza dotyczących diety oraz higieny jamy ustnej. W pierwszych dniach po operacji zaleca się unikanie twardych pokarmów oraz spożywanie jedynie miękkich potraw, aby nie obciążać świeżo wszczepionego implantu. Ważne jest również stosowanie zimnych okładów na twarz w celu zmniejszenia obrzęku oraz bólu pooperacyjnego. Regularne wizyty kontrolne u stomatologa pozwalają na monitorowanie postępu gojenia oraz wykrycie ewentualnych komplikacji na wczesnym etapie. Pacjenci powinni być świadomi objawów takich jak silny ból czy krwawienie i natychmiast zgłaszać je lekarzowi. Po zakończeniu etapu gojenia następuje czas na wykonanie korony protetycznej, która zostanie umieszczona na implancie.
Jakie są opinie pacjentów o implantach w Lublinie
Opinie pacjentów o implantach zębowych w Lublinie są zazwyczaj pozytywne i pełne entuzjazmu wobec efektów leczenia. Wielu pacjentów podkreśla znaczną poprawę jakości życia po wszczepieniu implantów – nie tylko pod względem estetyki uśmiechu, ale także komfortu podczas jedzenia i mówienia. Osoby te często wskazują na to, że dzięki implantom czują się pewniej i bardziej komfortowo w sytuacjach społecznych. Wiele osób zauważa także łatwość utrzymania higieny jamy ustnej przy użyciu implantów w porównaniu do tradycyjnych protez dentystycznych. Pacjenci chwalą sobie również profesjonalizm lekarzy oraz personelu medycznego w klinikach stomatologicznych w Lublinie, co wpływa na ich ogólne samopoczucie i komfort psychiczny podczas całego procesu leczenia.





