Implanty zębów to popularne rozwiązanie w stomatologii, które pozwala na odbudowę brakujących zębów. Jednak przed podjęciem decyzji o ich wszczepieniu, należy dokładnie rozważyć różne przeciwwskazania, które mogą wpłynąć na powodzenie zabiegu. Przede wszystkim, istotnym czynnikiem jest ogólny stan zdrowia pacjenta. Osoby cierpiące na choroby przewlekłe, takie jak cukrzyca, mogą mieć zwiększone ryzyko powikłań pooperacyjnych. Ponadto, niektóre schorzenia autoimmunologiczne mogą wpływać na proces gojenia się tkanek i integrację implantu z kością. Kolejnym ważnym aspektem są nawyki pacjenta, takie jak palenie papierosów, które również mogą negatywnie wpłynąć na sukces zabiegu. Warto również zwrócić uwagę na stan kości w szczęce; jeśli jest ona zbyt słaba lub nie ma wystarczającej ilości tkanki kostnej, może być konieczne przeprowadzenie dodatkowych zabiegów przed wszczepieniem implantu.
Jakie inne czynniki mogą wpłynąć na decyzję o implantach
Decyzja o wszczepieniu implantów zębów nie opiera się tylko na przeciwwskazaniach zdrowotnych, ale także na wielu innych czynnikach. Ważne jest, aby pacjent miał realistyczne oczekiwania co do efektów końcowych oraz czasu rekonwalescencji. W przypadku osób starszych lub tych z osłabionym układem odpornościowym, proces gojenia może przebiegać dłużej i wymagać większej uwagi. Również wiek pacjenta odgrywa kluczową rolę; młodsze osoby mają zazwyczaj lepszą zdolność do regeneracji tkanek. Należy także rozważyć kwestie finansowe związane z zabiegiem, ponieważ implanty są często droższe od innych metod leczenia braków w uzębieniu. Warto również pamiętać o regularnych wizytach kontrolnych u stomatologa po wszczepieniu implantu, aby monitorować jego stan oraz zdrowie jamy ustnej.
Czy istnieją alternatywy dla implantów zębów

W przypadku gdy implanty zębów są przeciwwskazane lub pacjent nie chce ich stosować, istnieje wiele alternatywnych metod odbudowy brakujących zębów. Jednym z najpopularniejszych rozwiązań są mosty protetyczne, które polegają na osadzeniu sztucznych zębów na sąsiednich zdrowych zębach. Mosty są mniej inwazyjne niż implanty i mogą być wykonane w krótszym czasie. Inną opcją są protezy ruchome, które mogą być stosowane zarówno w przypadku całkowitych braków zębowych, jak i częściowych. Protezy są łatwe do usunięcia i czyszczenia, jednak wymagają regularnych wizyt u dentysty w celu ich dostosowania oraz naprawy. Warto również wspomnieć o nowoczesnych technologiach takich jak korony czy wkłady koronowe, które mogą być stosowane w przypadku uszkodzonych zębów.
Jak przygotować się do konsultacji dotyczącej implantów
Przygotowanie się do konsultacji dotyczącej wszczepienia implantów zębów jest kluczowe dla uzyskania pełnej informacji oraz podjęcia świadomej decyzji. Na początku warto zebrać wszystkie istotne informacje o swoim stanie zdrowia, w tym historię medyczną oraz listę przyjmowanych leków. Pomocne będzie również spisanie pytań dotyczących procedury oraz ewentualnych obaw związanych z zabiegiem. W trakcie wizyty lekarz przeprowadzi szczegółowy wywiad oraz badania diagnostyczne, takie jak zdjęcia rentgenowskie czy tomografia komputerowa, aby ocenić stan kości i tkanek miękkich w jamie ustnej. Ważne jest również omówienie oczekiwań co do efektu końcowego oraz kosztów związanych z zabiegiem i ewentualnymi dodatkowymi procedurami. Po konsultacji pacjent powinien mieć jasny obraz tego, jakie kroki należy podjąć dalej oraz jakie są dostępne opcje leczenia.
Jakie są najczęstsze mity dotyczące implantów zębów
Wokół implantów zębów narosło wiele mitów, które mogą wprowadzać pacjentów w błąd i wpływać na ich decyzje dotyczące leczenia. Jednym z najczęściej powtarzanych mitów jest przekonanie, że implanty są bardzo bolesne i wiążą się z długim okresem rekonwalescencji. W rzeczywistości, większość pacjentów zgłasza jedynie niewielki dyskomfort po zabiegu, który można łatwo kontrolować za pomocą leków przeciwbólowych. Kolejnym mitem jest przekonanie, że implanty są widoczne i psują estetykę uśmiechu. Nowoczesne technologie oraz materiały stosowane do produkcji implantów pozwalają na uzyskanie bardzo naturalnego wyglądu, który doskonale komponuje się z pozostałymi zębami. Niektórzy pacjenci obawiają się również, że implanty wymagają skomplikowanej pielęgnacji. W rzeczywistości, dbanie o implanty jest podobne do pielęgnacji naturalnych zębów; regularne szczotkowanie, nitkowanie oraz wizyty kontrolne u dentysty są wystarczające, aby zapewnić ich długowieczność.
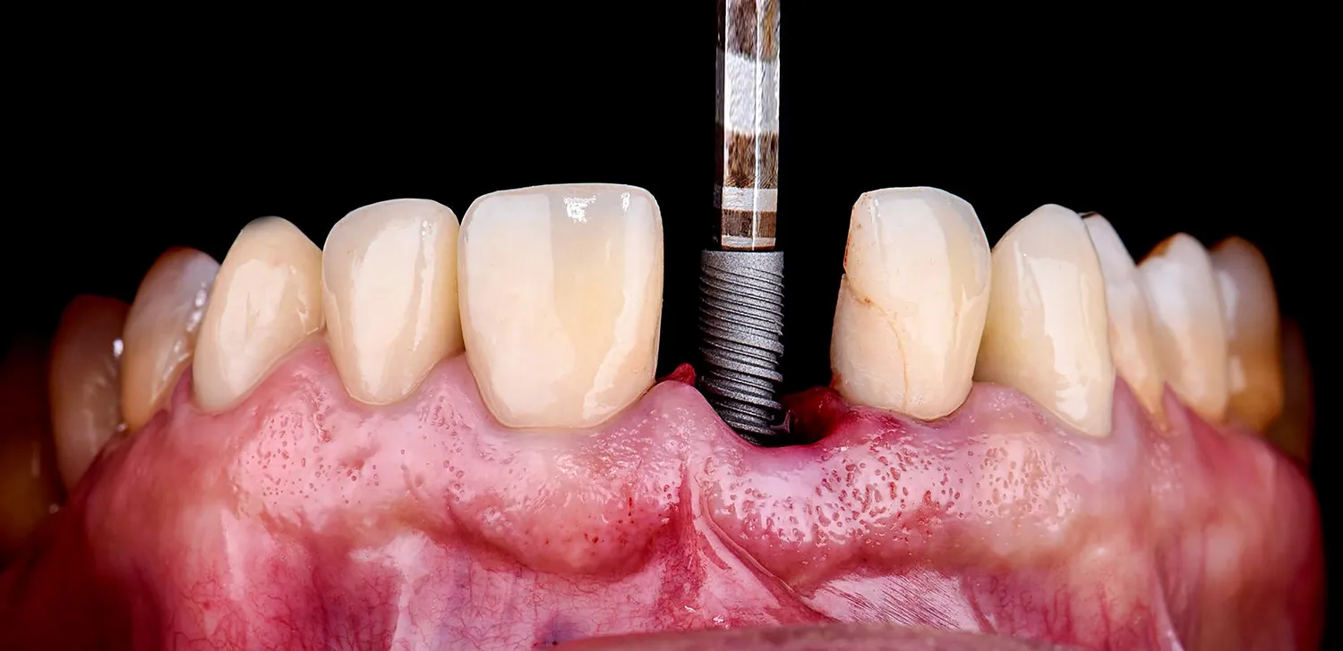
Jakie są etapy procesu wszczepienia implantu zęba
Proces wszczepienia implantu zęba składa się z kilku kluczowych etapów, które są niezbędne do osiągnięcia sukcesu całej procedury. Pierwszym krokiem jest szczegółowa konsultacja stomatologiczna, podczas której lekarz ocenia stan zdrowia pacjenta oraz wykonuje niezbędne badania diagnostyczne. Po ustaleniu, że pacjent kwalifikuje się do zabiegu, przystępuje się do planowania leczenia. Następnie następuje etap chirurgiczny, podczas którego implant jest wszczepiany w kość szczęki. Zabieg ten odbywa się zazwyczaj w znieczuleniu miejscowym, co minimalizuje dyskomfort pacjenta. Po wszczepieniu implantu następuje okres gojenia, który trwa od kilku tygodni do kilku miesięcy; w tym czasie implant integruje się z kością. Po zakończeniu tego etapu można przystąpić do wykonania korony protetycznej, która będzie umieszczona na implancie. Ostatnim krokiem jest kontrola oraz instrukcje dotyczące pielęgnacji implantu i zdrowia jamy ustnej.
Jakie są koszty związane z wszczepieniem implantów zębów
Koszty związane z wszczepieniem implantów zębów mogą być znacznie różne w zależności od wielu czynników. Przede wszystkim, cena implantu zależy od jego rodzaju oraz materiału użytego do produkcji. Implanty tytanowe są najczęściej stosowane i mają różną cenę w zależności od producenta oraz technologii ich wykonania. Dodatkowo, koszty mogą wzrosnąć w przypadku konieczności przeprowadzenia dodatkowych zabiegów, takich jak augmentacja kości czy sinus lift, które są niezbędne w sytuacji niedostatecznej ilości tkanki kostnej. Warto również uwzględnić koszty związane z koroną protetyczną oraz ewentualnymi wizytami kontrolnymi po zabiegu. W Polsce ceny za jeden implant mogą wynosić od kilku do kilkunastu tysięcy złotych, co sprawia, że jest to istotna inwestycja finansowa. Z tego powodu warto rozważyć różne opcje finansowania zabiegu oraz zapytać o możliwość rozłożenia płatności na raty.
Jak dbać o zdrowie jamy ustnej po wszczepieniu implantu
Prawidłowa pielęgnacja jamy ustnej po wszczepieniu implantu jest kluczowa dla jego długowieczności oraz zdrowia całej jamy ustnej. Po pierwsze, należy przestrzegać zasad higieny osobistej; regularne szczotkowanie zębów co najmniej dwa razy dziennie oraz nitkowanie to podstawowe czynności, które pomogą utrzymać czystość wokół implantu. Ważne jest również stosowanie odpowiednich środków czyszczących przeznaczonych do pielęgnacji protez i implantów. Po każdej większej posiłku warto przepłukać jamę ustną wodą lub specjalnym płynem antybakteryjnym, aby usunąć resztki pokarmowe i bakterie. Regularne wizyty kontrolne u stomatologa są niezbędne do monitorowania stanu implantu oraz ogólnego zdrowia jamy ustnej; lekarz może wykryć ewentualne problemy zanim staną się poważniejsze.
Jakie są nowoczesne technologie stosowane w implantologii
Nowoczesna implantologia korzysta z wielu innowacyjnych technologii, które znacząco poprawiają efektywność zabiegów oraz komfort pacjentów. Jednym z najważniejszych osiągnięć jest zastosowanie cyfrowego planowania zabiegów przy użyciu tomografii komputerowej oraz skanowania 3D; te technologie pozwalają na dokładną ocenę warunków anatomicznych pacjenta i precyzyjne zaplanowanie lokalizacji implantu. Dzięki temu lekarze mogą uniknąć komplikacji związanych z niewłaściwym umiejscowieniem implantu i zwiększyć szanse na jego sukces. Innym ciekawym rozwiązaniem są implanty o specjalnych powłokach bioaktywnych, które wspomagają proces gojenia i integracji z kością; takie powłoki mogą przyspieszyć regenerację tkanek i zmniejszyć ryzyko odrzutu implantu przez organizm. Ponadto rozwój materiałów stosowanych do produkcji implantów sprawił, że stały się one bardziej biokompatybilne oraz odporne na korozję; dzięki temu ich trwałość znacznie wzrosła.
Jakie są zalety stosowania implantów zamiast innych metod
Implanty zębowe oferują wiele zalet w porównaniu do tradycyjnych metod odbudowy brakujących zębów takich jak mosty czy protezy ruchome. Przede wszystkim implanty zapewniają stabilność i funkcjonalność porównywalną z naturalnymi zębami; dzięki temu pacjenci mogą cieszyć się pełnym komfortem podczas jedzenia i mowy bez obaw o przesunięcia czy wypadnięcia sztucznych elementów. Kolejną istotną zaletą jest to, że implanty nie wymagają szlifowania zdrowych zębów sąsiednich; w przypadku mostu konieczne jest oszlifowanie tych zębów w celu ich przygotowania do podparcia mostu protetycznego. Implanty również nie powodują problemu resorpcji kości szczęki, która często występuje po utracie naturalnych zębów; wszczepienie implantu stymuluje tkankę kostną i zapobiega jej zanikanie.





